1. нарушение частоты, глубины, периодичности дыхания:
a) брадипноэ – снижение частоты дыхания
b) апноэ- остановка дыхания (
c) Тахипноэ – увеличение частоты дыхания сопровождается снижением глубины дыхания т.е. возникает частое поверхностное дыхание (щадящее дыхание).
d) Гиперпноэ – увеличение частоты и глубины дыхания (возникает в норме при физической нагрузке, эмоциях, боли).
2. диспноэ или одышка – чувство нехватки воздуха и связанную с ним потребность усилить дыхание. Может быть: инспираторной и экспираторной.
· инспираторная одышка –затруднен вдох (при дифтерии, спазме голосовой щели, отеке гортани, пневмотораксе).
· Экспираторная одышка – затруднен и усилен выдох (при рпиступе бронхиальной астмы, эмфиземе легкого).
3. периодическое патологическое дыхание (патологические типы дыхания)- появляется при глубоком угнетении нейронов дыхательного центра при повышении внутричерепного давления, отравлении наркотиками, интоксикациях,тяжелой гипоксии, коматозных состояниях.
Виды:
a) дыхание Чейна-Стокса - характеризуется циклами: вначале идут нарастающие по амплитуде дыхательные акты, затем следует продолжительная пауза и весь цикл повторяется.
b) Дыхание Биота – характеризуется несколькими одинаковыми по амплитуде дыхательными актами, затем следует пауза и дыхательные акты повторяются.
c) Дыхание Куссмауля (большое шумное дыхание) – характеризуется одиночными глубокими дыхательными актами, между которыми продолжительные паузы (в условиях тяжелого ацидоза, диабетической или уремической коме).
d) Агональное дыхание –при умирании,.характеризуется нарастающими глубокими вдохами, достигающими макисимума. Появляется после терминальной паузы и завершается остановкой дыхания.
4. кислородное голодание (гипоксия) – кислородное голодание- патологический процесс, в основе которого лежит ослабление тканевого дыхания, в результате несоответствия потребности организма в О2 и его потреблении.
5. Асфиксия (удушье)- сочетание недостатка О2 и накопление углекислоты в организме.
Пневмоторакс – поступление воздуха в плевральную полость, встречающееся при ранениях грудной клетки. Пневмоторакс наступает также при разрыве легкого и соединении воздушных путей с плевральной полостью.
Односторонний, двусторонний
Виды пневмоторакса:
1. открытый – если плевральная полость сообщается с атмосферным воздухом
2. закрытый – плевральная полость не сообщается с атмосферным органом.
3. Клапанный – при этом виде воздух через отверстие проходит в плевральную полость во время вдоха, но из-за закрытия отверстия во время выдоха (тканями плевры или мышцами) он не возвращается в атмосферу.
4. Искусственный пневмоторакс – создают искусственно, чтобы ограничить подвижность легких
Пиоторакс – скапливание гноя в плевральной полости
Гидроторакс – скапливание жидкости в плевральной полости
Гемоторакс – скапливание крови в плевральной полости.
Ателектаз - спадение ткани легкого. Участки ателектаза выглядят плотными, безвоздушными.
| |
Рис. 32. Положение легкого в норме (А) и при пневмотораксе (Б)(схема).
1—трахея; 2 —стенка грудной клетки; 3 —плевральная полость; 4 —висцеральная плевра; 5—диафрагма; б—легкое; 7—плевральная полость при пневмотораксе; 8 —шварты;
9 —место введения воздуха.
<>>><ОСТРЫЕ ><ВОСПАЛИТЕЛЬНЫЕ ><ЗАБОЛЕВАНИЯ
ринит – воспаление слизистой оболочки носа.
Синусит – воспаление придаточных пазух.
Ларингит – воспаление слизистой оболочки гортани.
Трахеит –воспаление слизистой трахеи.
Плеврит – воспаление плевры.
<Пневмония ><— ><воспаление ><лёгких.>
<Очень >< >< >< >< >< >< ><распространённое >< >< >< >< >< >< ><заболевание. >< >< >< >< >< >< >< ><Возникает >< >< >< >< >< >< ><как ><самостоятельно, ><так ><и ><может ><присоединяться ><к ><другой ><болезни.
>< <Различают ><3 ><формы ><воспаления ><лёгких>
1) <Крупозную.>
2) <Очаговую ><бронхопневмонию.>
3) <Межуточную ><(интерстициальную).>
<Крупозная >< >< ><пневмония >< >< ><- >< >< ><острое >< >< ><инфекционное >< >< ><заболевание, ><проявляющееся ><воспалением ><одной ><или ><нескольких ><долей ><лёгкого ><с ><обязательным ><вовлечением ><в ><процесс ><плевры.
><Этиология:>
1) <Пневмококки ><различных ><типов.>
2) <Стафилококки.>
3) <Различные ><грибы>
4) <Вирусы>
<Они ><проявляют ><своё ><действие ><в ><предварительно ><ослабленном ><или ><сенсибилизированном ><организме ><к ><этому ><возбудителю.>
<>< Морфогенез >
| <Стадия ><красного ><опеченения >< >< ><3-4> <СУТКИ> |
Стадия прилива. <Начало ><болезни, ><прилив ><крови ><к ><поражённой ><доле, ><её ><полнокровию. ><><Появляется ><бурокрасная ><мокрота>
<В ><альвеолах ><из ><экссудата ><выпадает ><фибрин, ><смешанный ><с ><эритроцитами. ><Поражённая ><доля ><становится ><красной, ><плотной, ><безвоздушной ><-><приобретает ><консистенцию ><печени ><-><«опеченение».>
| <Стадия ><серого ><опеченения ><4-6 ><сутки> |
< >< > > > > > > > >>><появляется ><большое ><количество ><лейкоцитов. ><Поражённая ><доля ><по-><прежнему ><плотная, ><но ><цвет ><её ><становится ><серым. >>>>>><>
| <Стадия> <разрешения> <(исхода)> |
<Исход ><может ><быть>
1. <Благоприятный >><>><- >< >>><ферменты >< >< >><лейкоцитов ><расщепляют ><фибрин, ><рассасывают ><его, ><часть ><расплавленного ><экссудата ><отхаркивается.>
2. <Неблагоприятный ><(осложнения ><пневмонии):>
<а)>< ><спайки ><на ><плевре;>
<б)>< ><абсцесс ><лёгкого;>
<в)>< ><гангрена ><лёгкого;>
<г)>< ><эмпиема ><плевры;>
<д)>< кар>нификация >< >< >< >< >< ><(поражённая >< >< >< >< >< ><доля
><становится >< >< >< >< >< >< >< ><плотной, >< >< >< >< >< >< >< >< ><безвоздушной,
><мясистой).

Рис. 33. Крупозная пневмония, серое опеченение верхней доли легкого
ОЧАГОВАЯ БРОНХОПНЕВМОНИЯ - остро возникающее воспаление ткани лёгкого, связанное с бронхитом.
Воспаление с бронхов распространяется на участок прилежащей ткани легких. Может развиваться как самостоятельное заболевание, но при этом в процесс вовлекается бронх, расположенный в зоне воспаления.
Исход бронхопневмонии:
1. благоприятный – выздоровление – разрешение и возврат легочной ткани к норме.
2. неблагоприятный – осложнения:
а)карнификация очагов воспаления
б)абсцессы
в)плеврит
г)некроз ткани и гангрена легкого.
<<БРОНХИТ
>
<Бронхит ><— ><воспаление ><бронхов.>
<По ><течению ><может ><бьпъ ><острый ><и ><хронический.>
<Острый ><бронхит ><- ><возникает ><обычно ><в ><результате ><инфекции.>
<Этиология:>
1. <Пневмококки.>
2. <Стрептококки.>
3. <Вдыхание >< >< >< ><раздражающих >< >< >< ><и >< >< >< ><отравляющих >< >< >< ><веществ
><(«бронхит ><токсикомана»).>
4. <Пассивное ><курение.>
<При ><этом ><большую ><роль ><играет ><снижение ><сопротивляемости ><организма>
<Обычно ><воспаление ><бронхов ><и ><бронхиол ><носит ><катаральный ><характер ><(но ><экссудат ><может ><бьпъ ><серозным, ><слизистым, ><гнойным, ><фибринозным ><или ><смешанным).>
<Слизистая ><бронхов ><становится ><гиперемирована, ><резко ><возрастает ><количество ><образующейся ><слизи ><- ><как ><защитная ><реакция ><организма ><Мерцательный ><эпителий ><теряет ><реснички, ><слущивается, ><что ><затрудняет ><выведение ><слизи ><из ><бронхов. ><В ><стенке ><бронхов ><развивается ><отек. ><Скопившаяся ><слизь ><вместе ><с ><возбудителем ><острой ><инфекции, ><в ><результате ><нарушения ><её ><выведения, ><опускается ><в ><нижележащие ><отделы ><бронхиального ><дерева ><и ><закупоривает ><бронхиолы, ><что ><вызывает ><защитную ><реакцию ><организма ><- ><кашель ><-><резкий ><выдох ><через ><рот, ><с ><целью ><удаления ><мокроты ><из ><нижних ><дыхательных ><путей. ><Это ><обструктивный ><бронхит.>
<Механизм ><обструкции
1. ><><Спазм ><мышечных ><волокон.>
2. <Накопление ><слизи, ><в ><связи ><с ><гиперплазией ><желез.>
3. <Полнокровие ><слизистой ><(гиперемия, ><отёк).>
4. <Слущенный ><мерцательный ><эпителий.>
5. <Метаплазия ><мерцательного ><эпителия ><в ><кубический.>
6. <Рефлекторный ><кашель.>
<Исход>
1. <Выздоровление ><(слизистая ><бронхов ><восстанавливается).>
2. <хронический ><бронхит.>
<3 ><Очаговая ><бронхопневмония ><(когда ><воспаление ><переходит ><с ><бронхиол ><на ><лёгочную ><ткань
>
<<ХРОНИЧЕСКИЕ ><НЕСПЕЦИФИЧЕСКИЕ ><ЗАБОЛЕВАНИЯ> <ОРГАНОВ
ДЫХАНИЯ>< >
<Хронический ><бронхит>
<Развивается ><как ><исход затянувш> затянувшее егося ><острого ><бронхита.
><Эти><ология;>
1) <Острый ><бронхит.>
2) <Возбудители ><инфекции.>
3) <Длительное >< >< >< >< ><раздражение >< >< >< >< ><бронхов >< >< >< >< ><физическими >< >< >< >< ><и
><химическими ><веществами ><(«бронхит ><курильщиков»).>
<Морфогенез. >
<Характерно ><диффузное ><поражение ><всего ><бронхиального ><дерева>
1) <Слизистая>< ><гиперемирована><,>< ><инфильтрирована ><лимфоцитами.>
2) <Эпителий >< >< >< ><слущивается, >< >< >< ><подвергается >< >< >< ><метаплазии >< >< >< ><в
><многослойный, ><плоский, ><железы ><атрофируются.>
3) <Атрофия ><эластического ><каркаса>
4) <Нарушение ><перистальтики ><бронха, ><в ><результате ><бронх ><не
><выполняет ><дренажную ><функцию.>
< Осложнения: > < ><Бронхоэ ктазы>
<>><Эмфизема>
<Пневмосклероз>
<Бронхоэктазы >< >< ><- >< ><расширение >< ><стенок >< ><бронхов >< >< ><с >< ><образованием> <полостей ><в >< ><виде ><мешков >< ><или ><цилиндров.
<Они ><превращаются ><в ><большие ><полости, ><в ><которых ><скапливается> <мокрота ><и ><гной. >< >< ><Бронхоэктазы ><являются ><постоянными ><очагами> <инфекции ><и ><интоксикации.

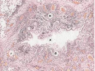
Рис. 34. Хронический гнойный бронхит с образованием бронхоэктазов. а — просвет бронха неравномерно расширен; б— некроз и гнойное расплавление слизистой оболочки; в — инфильтрация стенки бронха лейкоцитами; г — склероз перибронхиальной ткани.
>
<Эмфизема ><лёгких ><— ><«вздутие». ><Группы ><альвеол ><сливаются ><в ><одну> <из-за ><разрушения ><межальвеолярных ><перегородок, ><образуя ><большие> <пузыри. >< >< >< ><Это >< >< ><приводит >< >< ><к >< >< ><резкому >< >< ><уменьшению >< >< ><дыхательной поверхности.>
<Пневмосклероз ><— ><разрастание ><соединительной ><ткани ><в ><лёгком.> <Лёгкое ><становится ><тяжёлое, ><безвоздушное, ><снижается ><дыхательная> <поверхность, ><изменяется ><форма ><лёгких>>