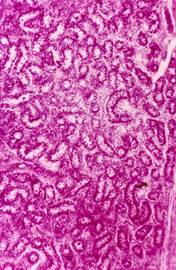
Семенники новорожденного, имея четкое дольчатое строение, состоят из изогнутых семенных канальцев, расположенных в РВСТ. Семенники очень богаты кровеносными сосудами, которые после родового акта кровенаполнены, нередко отечны.
Семенные канальцы узкие, просвет слабо выражен. Клеточный состав представлен тремя типами клеток: незрелые клетки Сертоли, сперматогонии типа А и первичными гоноцитами.
По вопросу о существовании интерстициальных клеток, продуцирующих мужские половые гормоны, данные литературы противоречивы. По данным Turner (1968), в семенниках новорожденного обнаруживаетмя значительное количество крупных интерстициальных клеток, которые через несколько дней после рождения начинают дегенерировать, по-видимому, это связано с исчезновением влияния хориального гонадотропина.
По степени дифференцировки канальцев принято различать семенники трех типов:
1) эупластические;
2) гиперпластические;
3) гипопластические.
Резкого разграничения между этими формами нет.
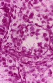
Для эупластического типа характерно наличие канальцев средней величины без хорошо развитого просвета, но четким центральным просветлением. Клеточные элементы – незрелые клетки Сертоли, между ними большое количество сперматогонии типа А и небольшон количество первичных гоноцитов. Могут встречаться клетки Лейдига, соединительнотканной стромы мало, она отечна, сосуды её полнокровны.
Гиперпластический тип отличается наличием просвета в центре большинства канальцев, большим количеством сперматогоний и более многочисленными округлыми и полигональными клетками Лейдига.
При гипопластическом типе канальцы узкие, просветление в канальцах слабо выражено, сперматогонии в них встречаются редко, клетки Лейдига малы. Соединительнотканной стромы много, что создает картину фиброза. Часто можно проследить четкую корреляцию между наличием в анамнезе патологии беременности и родов у матери и таким типом семенников новорожденного.
Придаток семенника у новорожденного ограничен белочной оболочкой, и в нем, так же как у взрослого, обнаруживаются значительные отличия структуры канальцев в головке и теле. В головке располагаются канальцы с плотно лежащими клетками двух типов: более высокие с ресничками и низкие без них. В канальцах тела эпителиальные клетки одинаковой высоты - призматический эпителий с апикальными волосками. В стенке канальца представлены гладкомышечные клетки.
Перестройка структуры семенников начинается сразу после рождения. Первые четыре года жизни ребенка принято считать статическим периодом постнатального развития мужской половой системы. Семенные канальцы отличаются малыми размерами, слабой извитостью. Клеточные элементы канальцев представлены небольшим количеством сперматогоний А и незрелых клеток Сертоли. Клеточные элементы располагаются в один слой. Клетки Лейдига не обнаруживаюся. Рост канальцев в длину, если происходит, то очень медленно.
Вторым периодом постнатального развития семенников является период роста, охватывающий промежуток от 4 до 10 лет. Канальцы семенников маленькие, но заметно извитые. Эпителиальная пластинка увеличивает количество слоев, это обусловлено тем, что с 5-6 летнего возраста начинают увеливаться в размере клетки Сертоли и появляются делящиеся сперматогонии. В ряде случаев после 5 лет наблюдается переход части клеток в стадию роста, но количество этих клеток невелико.
В возрасте 9 лет просвет канальцев семенника занят клетками сперматогенного эпителия. В интерстициальной ткани семенника появляются клетки, которые определяются как предшественники эндокриноцитов (клеток Лейдига). Этот факт, а также ряд морфологических характеристик (увеличение размеров и количество половых клеток, образование сперматоцитов I порядка, дальнейшая дифференцировка поддерживающих клеток) позволили этот период выделить как – период становления признаков пола в организме ребенка. Ограничение этого периода в определенные рамки неверно, так, как известно, что скорость полового созревания зависит от ряда причин (индивидуальные особенности, среда, климатические условия).
Третий период постнатального развития семенников получил название периода развития и занимает интервал от 10 до 12-16 лет. В этот период идет интенсивный рост семенника, увеличивается количество и размеры многих составляющих его клеток. Клетки Сертоли в постнатальный период претерпевают существенные морфологические и биохимические изменения. Они приобретают более характерную для них форму и ориентируются своей длинной осью перпендикулярно к базальной мембране канальцев, увеличиваются в размерах их ядра, хроматин все более диспергируется. Увеличивается митотическая активность сперматогоний, в просвете канальцев появляются сперматоциты I и II порядков, а после 12—14 лет и сперматиды. Увеличивается количество клеток Лейдига, они начинают продуцировать стероиды. Диаметр канальцев нарастает до 100—150 мкм. В этом возрасте резко усиливается скорость роста системы выводящих протоков.
Четвертый период – период установления окончательного сперматогенеза. В возрасте 16—18 лет в извитых семенных канальцах практически заканчивается морфологическая дифференцировка сустентоцитов, наблюдаются сперматогонии основных типов (А, В), которые дают начало всем видам клеток сперматогенеза вплоть до морфологически зрелых сперматозоидов. Гематотестикулярный барьер долгое время остается структурно и функционально незрелым. Его становление завершается у лабораторных животных в период, совпадающий по времени с завершением профазы мейоза в половых клетках, т. е. к началу полового созревания. Именно с началом полового созревания появляются аутоантигеиные половые клетки, которые должны быть изолированы от иммунного аппарата собственного организма.
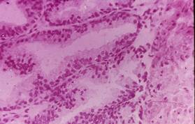
В придатке семенника новорожденного эпителий в канальцах головки по своим структурным характеристикам напоминает таковой у взрослого (представлен клетками двух видов: высокие клетки с ресничками и более низкие без ресничек). В канале тела придатка эпителий однослойный высокопризматический, на апикальных поверхностях клеток имеются стереоцилии. В течение первых 10 лет придаток растет медленно, но после 10 лет начинается быстрый его рост и к 14 годам он достигает размеров и морфологических характеристик взрослого. У семявыносящего протока новорожденного имеются все оболочки (слизистая, мышечная и адвентициальная). Однако развиты они слабо, особенно мышечная оболочка, у которой продольные слои выявляются только к 6-месячному возрасту. Клетки эпителия слизистой оболочки имеют уже стереоцилии. Окончательного развития проток достигает к 15 годам.
Семенные пузырькиу ребенка очень малы, их лабиринт появляется лишь в возрасте трех лет. Поскольку размеры и функции семенных пузырьков регулируются половыми гормонами, полного развития они достигают лишь к периоду половой зрелости.
Возрастная перестройка предстательной железытакже в большой степени связана с гормональной регуляцией. У новорожденного ребенка секреторные отделы железы развиты слабо. Эпителий концевых отделов состоит из клеток кубической формы, которые часто замещаются многослойным плоским эпителием. Процесс этот обратим: в период полового созревания эпителий секреторных отделов однослойный призматический, местами многорядный, начинается активная секреция. Соединительнотканный компонент железы преобладает у ребенка вплоть до периода полового созревания, в строме железы мало гладких миоцитов. В период наибольшей функциональной активности преобладают эпителиальный железистый компонент, увеличивается количество гладкомышечной ткани.
Семенник ребенка 5 лет
Окр.: Г+Э.
новорожденного. Окр.:Г+Э.
Иллюстрации из - О.В. Волкова, М.И. Пекарский. Эмбриогенез и возрастная гистология внутренних органов человека.






