Здоровая и искренняя улыбка сразу располагает к себе людей при общении, однако многие из нас стесняются часто улыбаться из-за проблем с зубами. На сегодняшний день стоматология Кореи может помочь вам решить все эстетические проблемы, связанные с зубами и деснами. По своему эффекту эстетическую стоматологию Кореи можно сравнить с пластическими операциями. Человек буквально преображается, начинает ощущать уверенность в своей внешности и своих силах.
Лечение зубов в Южной Корее подразумевает под собой все виды диагностики, лечение, а также протезирование зубов. При лечении зубов корейские стоматологи используют только самые качественные материалы от лучших мировых производителей, что гарантирует прекрасный результат. Все крупные стоматологические клиники оснащены современным медицинским оборудованием, отвечающему мировым стандартам. Благодаря этому, а также высокой квалификации врачей-стоматологов весь процесс лечения, в том числе и протезирование зубов в Корее проходит практически безболезненно и комфортно.
|
|
|
Одними из самых распространенных эстетических проблем, с которыми пациенты обращаются к корейским врачам-стоматологам, являются следующие:
· Исправление формы зубов, а также их размеров
· Удаление пятен, устранение сколов и диастем (межзубных щелей)
· Восстановление зубов композитными материалами
· Профессиональное отбеливание зубов
· Косметическая реконструкция дёсен
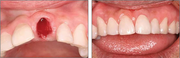
Моментальная имплантация зубов в Корее
Моментальная имплантация необходима в тех случаях, когда пациент не желает ходить без зуба длительное время. Особенно эта услуга востребована среди общественных людей, людей постоянно находящихся в центре внимания и отдающих должное своему внешнему виду. При этой процедуре заживление зубов происходит крайне быстро и не вызывает каких-либо дефектов речи.







