Лингвальные брекеты прикрепляются с внутренней стороны зубов и поэтому практически не видны при разговоре. Такие брекеты подходят пациентам, которые постоянно на виду и не хотят привлекать лишнее внимание к своим пока еще не идеальным зубам.

Также клиентам стоматологических клиник в Южной Корее доступны следующие методы лечения и исправления зубов по последним технологиям:

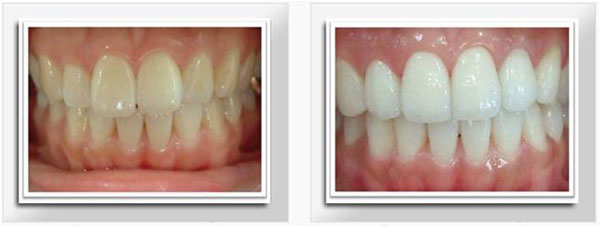
Отбеливание зубов за один час

CEREC автопластика зубов за 1 день

Эстетическое лечение зубов резин за 1 день

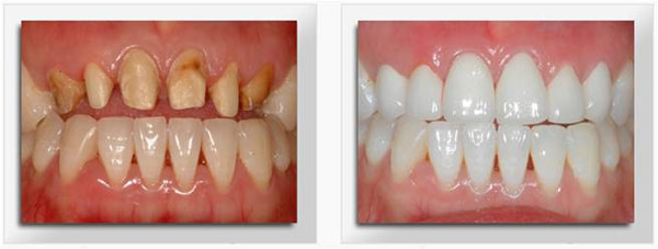
Керамическое эстетическое лечение zirconia за 2 дня

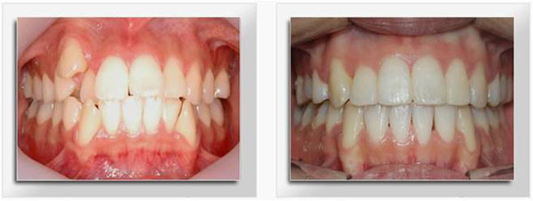
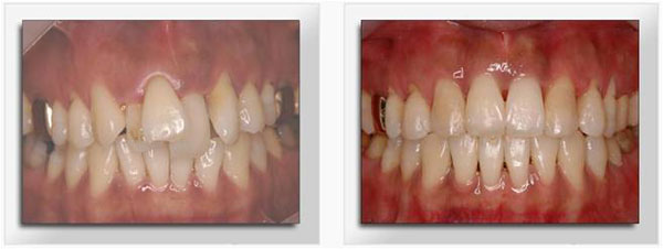
Лечение аномалии прикуса за 12 месяцев (необходимо посещение врача один раз в 2 месяца)

Лечение выпячивания зубов за 12 месяцев (необходимо посещение врача один раз в 2 месяца)

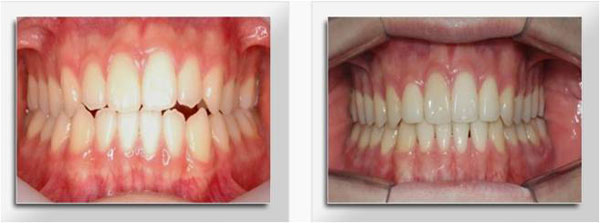
Лечение зубов неправильной формы и выпячивания за 12 месяцев (необходимо посещение врача один раз в 2 месяца)

Лечение неправильного зубного ряда за 18 месяцев (необходимо посещение врача один раз в 2 месяца)
Обратитесь к ведущим стоматологам Кореи, и вскоре вы захотите улыбаться намного чаще, ведь ваша улыбка будет сиять здоровьем и белизной!
|
|
|
Ю-Терра Мед – нам важно здоровье наших детей и близких!






