| Свойства канальцев | По сравнению с проксимальными канальцами (1), дистальные извитые канальцы (4) а) образованы более низким эпителием, который обычно так и называется: | |
однослойный низкий призматический (иногда всё-таки кубический)эпителий; б) по диаметру немного меньше - 30-50 мкм, в) но при этом имеют более широкий и более ровный просвет.: | ||
| Свойства клеток | а) Клетки также несколько отличаются от таковых в проксимальных канальцах: цитоплазма - немного светлей, прозрачная, а также отсутствует щёточная каёмка. б) Однако, как у клеток проксимальных канальцев, имеется базальная исчерченность. | |
| Связь строения с функцией | а) А. Функциональная нагрузка на дистальные канальцы меньше, чем на проксимальные. Б. Действительно, в них реабсорбируются, в основном, лишь электролиты.. б) Это и отражается рядом признаков более низкой функциональной активности: меньшей высотой эпителиоцитов, отсутствием щёточной каёмки и “вспененности” цитоплазмы. | |
| Капил- ляры канальцев | Заметим: к стенкам и проксимальных, и дистальных извитых канальцев прилежат многочисленные кровеносные капилляры. | |
II. Итоговая таблица
| Проксимальные канальцы | Дистальные канальцы | |
| а) Диаметр | Большой | Меньше, чем у проксимальных канальцев |
| б) Просвет | Узкий и часто неправильной формы | Широкий и с более ровным контуром |
| в) Тип эпителия | Однослойный кубический каёмчатый (на апикальной поверхности - оксифильная каёмка) | Однослойный низкий призматический (или кубический) (в любом случае толщина стенок - меньше; каёмки нет); |
| г) Цитоплазма клеток | Оксифильная, как бы вспененная | Более светлая и однородная |
| д) Базальная исчерченность - имеется и в тех, и в других каальцах |
III. Препараты
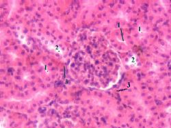
| 1,г. Препарат - почка; обычный (тонкий) срез. Окраска гематоксилин-эозином. | 2,б. Препарат - почка; полутонкий срез. Окраска толуидиновым синим. |
Полный размер | Полный размер |
| а) На обоих снимках видны канальцы коркового вещества: проксимальные извитые (1) и дистальные извитые (2). б) Они вполне соответствуют вышеприведённому описанию. |

однослойный низкий призматический (иногда всё-таки кубический)эпителий; б) по диаметру немного меньше - 30-50 мкм, в) но при этом имеют
Полный размер
Полный размер 





