| Введение | а) Выше было прослежено развитие произвольной генерации сперматогенных клеток. б) Но сперматогенный “эпителий” семенных канальцев содержит (как и эпидермис) клетки сразу нескольких развивающихся генераций. в) С этим обстоятельством связаны две интересные особенности. |
| Временнáя упорядо- ченность | а) Во-первых, в любом участке семенного канальца морфологическая картина не остаётся постоянной (как в том же эпидермисе), а закономерно меняется с определённой периодичностью. б) Это явление называется циклом сперматогенного "эпителия" и означает наличие у сперматогенеза временнóй упорядоченности. |
| Простран- ственная упорядо- ченность | а) Во-вторых, так же закономерно меняется морфологическая картина при перемещении в фиксированный момент времени по длине канальца. б) Это расценивают как пространственную упорядоченность. |
II. Временнáя упорядоченность
| Природа временнóй упорядочен- ности | Временнáя упорядоченность связана с тем, что на каком-либо участке канальца стволовые клетки вступают в сперматогенез не постоянно, а с периодом, равным 1/4 общей продолжительности сперматогенеза: 75 суток: 4 = 19 суток |
| Количество одновременно развиваю- щихся генераций | а) Отсюда следует, что на любом участке семенного канальца одновременно развиваются клетки лишь четырёх генераций. б) Согласно п. 29.2.2.3, к ним относятся сперматогонии (не считая стволовых Сг, это клетки генерации n, вступившей в созревание позже всех прочих генераций данного участка), один или два слоя сперматоцитов (если два – то на разных стадиях мейоза, т.е это генерации n-1 и, при двух слоях Сц, генерации n-2), один или два слоя сперматид (если два, то тоже на разных стадиях спермиогенеза: генерации n-2 и n-3). |
| "Разрыв" между генерациями | а) Причём, по степени своего развития клетки произвольного участка канальца не составляют непрерывный ряд (как было бы, если вступление стволовых клеток в сперматогенез происходило бы постоянно), а поочерёдно отстоят друг от друга в своём развитии на 19 суток. б) Потому-то и меняется морфология участка со временем. |
| Пример | а) Действительно, пусть в какой-то момент наблюдения имеется следующий набор четырёх видов клеток: клетки 5-го, 24-го, 43-го и 62-го дней развития. б) Через несколько (например, 9) дней набор становится другим: клетки 14-го, 33-го, 52-го и 71-го дней развития. в) И лишь через 19 дней после первого наблюдения в данном участке канальца восстановится та же морфологическая картина, только бывшие клетки 5-го дня развития достигнут уже 24-го дня, перейдя во второй слой клеток, а их место займут клетки новой генерации. (То же относится к клеткам и прочих генераций) |
| Заключитель- ное замечание | Напомним, что это явление называется циклом сперматогенного "эпителия", и период цикла примерно равен 19 суткам. |
III. Пространственная упорядоченность
|
|
|
|
|
|
| Природа пространст- венной упорядочен- ности | а) Пространственная же упорядоченность обусловлена тем, что периодическая инициация сперматогенеза не происходит одновременно на всём протяжении семенного канальца, а, начинаясь в середине петли канальца, затем, как волна, распространяетсяв обе стороны этой петли. б) Скорость распространения "волны" - примерно 2,2 мм/сутки (у грызунов). | |
| Проявления этой упорядочен- ности | а) Таким образом, перемещаясь по длине канальца "навстречу волне", мы увидели бы такую же закономерную смену морфологической картинысперматогенного "эпителия", как при наблюдении за одним участком канальца во времени. б) В результате разные срезы одного и того же канальца (да и соседних тоже), как правило, отличаются друг от друга по морфологии. | |
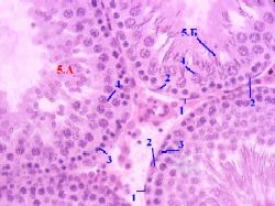
| Иллюстра- ция | Это видно, в частности, на снимке, где в поле зрения - 3 среза канальца. Надо лишь внимательно присмотреться к каждому виду сперматогенных клеток и сопоставить (в разных срезах): а) для Сг - удалённость от базальной мембраны, б) для СцI - количество слоёв (1 или 2), размер клеток и вид ядра (размер, плотность, чёткость рисунка хроматина) | 1,б. Препарат - яичко. Окраска гематоксилин- эозином. Полный размер |
(так, у поздних Сц I - крупные светлые ядра с чётким рисунком хроматина); в) для Ст - примерно те же характеристики, но с некоторыми добавлениями: количество слоёв (1 или 2), размер и форму клеток, вид ядра (размер, форму, положение, плотность), наличие или отсутствие жгутика. |

29.2.5. Участие яичек в гормональной регуляции
Схема
а) Как известно (и как не раз упоминалось выше), яички - это и органы внутренней секреции. б) Их участие в гормональных взаимодействиях показано на схеме.- в) Из схемы видно, что гормональная функция яичек находится под контролем гипоталамуса (выделяющего, в частности, гонадолиберины) и гипофиза (образующего гонадотропины), а в самих яичках эта функция обеспечивается деятельностью двух видов клеток - Лейдига и Сертоли. |

называется циклом сперматогенного "эпителия"
Полный размер
в) Из схемы видно, что 





