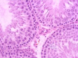
| Клетки Лейдига | 1. Клетки Лейдига(интерстициальные клетки, или гландулоциты) (7) находятся в соединительной ткани между семенными канальцами, имеют округлую форму и оксифильную цитоплазму, образуют мужской половой гормон - тестостерон. | 1,б. Препарат - яичко. Окраска гематоксилин-эозином. |
2. Этот процесс стимулируется лютеинизирующим гормоном (ЛГ) гипофиза. 3. Поскольку при синтезе тестостерона используется т.н. микросомальное окисление (гидроксилирование), в клетках Лейдига развита гладкая (агранулярная) ЭПС (эндоплазматическая сеть) (п. 3.2.3.2). | ||
| Лимфа- тические синусы | 1. В интерстициальной ткани яичек, помимо кровеносных капилляров, имеются лимфатические синусоидные капилляры. 2. Последние, как футляром, окружают семенные канальцы. 3. а) Именно в лимфатические синусы и попадает, в основном,тестостерон. б) Отсюда гормон переносится в более крупные лимфатические сосуды, по ним – в грудной проток и только затем оказывается в большом круге кровообращения. 4. Вместе с тем, некоторое количество тестостерона может попадать в кровь сразу - в самих яичках. | |
| Действия тесто- стерона | 1. Тестостерон оказывает разнообразное влияние на многие органы (п. 22.1.2.3. IV,A), в т.ч. по принципу обратной связи угнетает продукцию ЛГ гипофизом. | |
2. а) Считают, что тестостерон может также проникать через базальную мембрану семенных канальцев и далее - в клетки Сертоли (стимулируя в них синтез специфических белков) или через толщу сперматогенного "эпителия" - в просвет канальцев. б) Во втором случае тестостерон связывается (в просвете канальцев) с АСБ (андрогенсвязывающим белком, выделяемым клетками Сертоли) и после этого оказывает влияние на развитие сперматоцитов и сперматид. |

|
|
|
29.2.5.3. Роль клеток Сертоли
в эндокринных взаимодействиях
| а) Участие клеток Сертоли в эндокринных взаимоотношениях уже описывалось в п. 29.2.3.3. б) Напомним приводившуюся там информацию. - | |
| Внешние влияния | Данные клетки находятся под контролем фолликулостимулирующего гормона (ФСГ) гипофиза и тестостерона (оба эти гормона стимулируют в клетках Сертоли синтез специфических белков). |
| Преобразование тестостерона | а) Тестостерон, проникший в клетки Сертоли, не только вызывает указанный эффект (стимуляцию синтеза белков), но и сам подвергается воздействию определённых ферментов, в результате чего превращается в эстрадиол (женский половой гормон). б) Последний диффундирует обратно в интерстиций и подавляет синтез тестостерона в клетках Лейдига. в) Вместе с тем надо иметь в виду, что доля тестостерона, попадающего в клетки Сертоли, довольно мала: основная его часть направляется в лимфу и кровь. Так что количество образуемого в яичках эстрадиола весьма невелико. |
| Выделяемые вещества | Наконец, кл. Сертоли и сами вырабатывают целый ряд веществ: АСБ - "проводник" тестостерона в сперматиды, активин и интерлейкин-1, стимулирующие деления сперматогоний, ингибин, который (по принципу обратной связи) тормозит выработку ФСГ в гипофизе. |

|
|
|
29.2.6. Семявыносящие пути
Завершив подробное рассмотрение семенных канальцев яичка,
обратимся к другим структурам мужской половой системы;
и вначале - к семявыносящим путям.

находятся в соединительной ткани между семенными канальцами,






