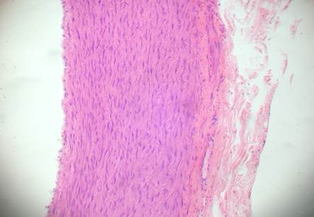
На поперечном срезе аорты, по сравнению с просветом, стенка сосуда относительно тонкая. Внутренняя оболочка с эндотелием и относительно широким субэндотелиальным слоем имеет гладкий край. Средняя оболочка состоит из циркулярных пучков гладких миоцитов. Окончатые эластические мембраны средней оболочки плохо выражены, т.к. не прокрашиваются гематоксилин-эозином. Коллагеновые волокна соединительной ткани наружной оболочки толстые, расположены в основном вдоль сосуда. В составе наружной оболочки встречаются сосуды и нервы.
Задание:
При малом увеличении микроскопа:
а) найти стенку аорты
б) найти внутреннюю оболочку. Ядра эндотелиоцитов окрашены базофильно, расположены на внутренней поверхности сосуда. Субэндотелиальный слой хорошо выражен, окрашен оксифильно.
в) найти среднюю оболочку. Эластические мембраны видны в виде толстых оксифильно окрашенных волокон, оплетающих гладкие миоциты. Границ клеток не видно. Ядра гладких миоцитов имеют вытянутую форму, расположены циркулярно.
г) найти адвентицию. Коллагеновые волокна рыхлой волокнистой соединительной ткани наружной оболочки окрашены оксифильно. В адвентиции раположены сосуды сосудов.
Фото 1.1.1.
При большом увеличении микроскопа:
а) рассмотреть внутреннюю оболочку. Хорошо видны ядра эндотелиоцитов. Субэндотелиальный слой относительно толстый. Нет внутренней эластической мембраны.
б) рассмотреть среднюю оболочку. Окончатые эластические мембраны, расположены циркулярно, между ними видны удлиненные ядра гладких миоцитов.
Фото 1.1.2.
Зарисовать препарат и обозначить на рисунке:
I. Внутреннюю оболочку
1. эндотелиальный слой
2. субэндотелиальный слой
II. Среднюю оболочку
3. окончатые эластические мембраны
4. ядра гладких миоцитов
III. Адвентициальную оболочку
5. рыхлую волокнистую соединительную ткань
Фото 1.1.1. Артерия эластического типа. Аорта. Поперечный срез.
Гем.-Эоз. Малое увеличение. (Ув.10х7)
|
|
|
|
Фото 1.1.2. Артерия эластического типа. Аорта. Поперечный срез.
Гем.-Эоз. Большое увеличение. (Ув.40х7)
|
|
|
|







