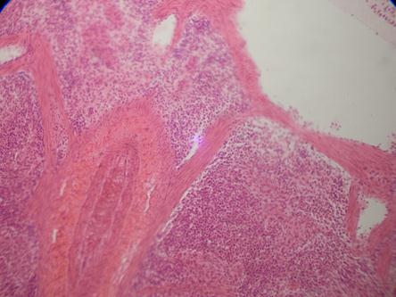
Строма селезенки представлена ретикулярной тканью, а так же плотной волокнистой соединительной тканью капсулы и трабекул. Соединительная ткань капсулы и трабекул содержит пучки гладких миоцитов и образует опорно-сократительный аппарат селезенки.
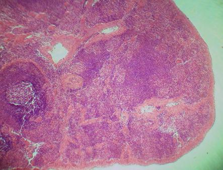
Лимфоидные фолликулы селезенки рассеяны по всей пульпе. Особенностью узелков селезенки является наличие в них узелковой артерии (центральной), расположенной эксцентрично, т.е. на периферии фолликула. В селезеночных фолликулах различают несколько зон: светлый центр (центр размножения В-лимфоцитов), периартериальную зону (тимус-зависимую), мантийную (аналог короны фолликула лимфоузла) и краевую (маргинальную) зону на границе между красной и белой пульпой.
Между узелками и трабекулами расположена красная пульпа, содержащая значительное количество эритроцитов. На некоторых препаратах красная пульпа селезенки может быть выражена плохо, что связано с опорожнением органа от крови. На препарате хорошо видны трабекулярные сосуды. Трабекулярная вена безмышечного типа имеет только эндотелиальную выстилку, за которой располагается ткань трабекулы.
У трабекулярной артерии хорошо видна мышечная оболочка сосуда (гладкие миоциты образуют концентрические круги вокруг просвета сосуда).
При малом увеличении микроскопа:
а) найти мезотелий серозной оболочки селезенки, покрывающей капсулу органа.
б) найти капсулу селезенки и трабекулы. Капсула и трабекулы селезенки оксифильно окрашены.
в) найти белую пульпу(лимфоидные узелки селезенки). Лимфоидные фолликулы состоят, в основном, из мелких клеток темно-синего цвета.
г) найти красную пульпу(это светлые участки между лимфоидными узелками и трабекулами, состоящее из венозных синусов и селезеночных тяжей). Как правило, в этих участках большое количество эритроцитов желто-оранжевого цвета.
д) найти трабекуллярную вену. Вена обычно неправильной формы, стенка ее сращена с соединительной тканью трабекулы. Гладкие миоциты трабекулы расположены вдоль трабекулы.
е) найти трабекулярную артерию. Артерия имеет выраженную мышечную оболочку, состоящую из оксифильных гладких миоцитов, расположенных циркулярно.
При большом увеличении микроскопа:
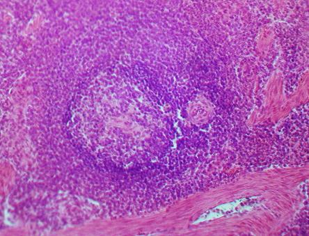
а) рассмотреть лимфатический фолликул селезенки. Лимфоциты в селезенке образуют шаровидные скопления, окрашенные в синий цвет.
б) найти артерию лимфатическго фолликула и периартериальную зону (клетки расположенные вокруг артерии). Узелковая артерия (центральная) мелкая, расположена эксцентрично.
в) найти герминативный центр и мантийную зону фолликула селезенки. Герминативный центр – светлый участок узелка. Мантийная зона (корона) состоит из малых лимфоцитов и располагается по периферии узелка.
д) найти и рассмотреть пучки гладких миоцитов в соединительной ткани капсулы и трабекул. Уплощенные синие ядра гладких миоцитов расположены параллельными пучками вдоль волокон капсулы и трабекул.
Фото 2.4.1.; 2.4.2.
Зарисовать препарат и обозначить на рисунке:
1. капсулу
2. мезотелий
3. красную пульпу
4. белую пульпу
5. лимфатический фолликул
а) узелковую артерию
б) светлый центр
в) периартериальную зону
г) мантийную зону
6. трабекулу
7. трабекулярную вену
8. трабекулярную артерию
9. пучки гладких миоцитов
Фото 2.4.1. Селезенка. Гем.-Эоз.
Малое увеличение. (Ув.10х7)
|
|
|
|
|
|
Фото 2.4.2. Лимфатический фолликул селезенки. Гем.-Эоз.
Большое увеличение. (Ув.40х7)
|
|
|
|
Фото 2.4.3. Селезенка. Гем.-Эоз.
Большое увеличение.
|
|
|







