Студопедия
Категории
Авто
Автоматизация
Архитектура
Астрономия
Аудит
Биология
Бухгалтерия
Военное дело
Генетика
География
Геология
Государство
Дом
Журналистика и СМИ
Изобретательство
Иностранные языки
Информатика
Искусство
История
Компьютеры
Кулинария
Культура
Лексикология
Литература
Логика
Маркетинг
Математика
Машиностроение
Медицина
Менеджмент
Металлы и Сварка
Механика
Музыка
Население
Образование
Охрана безопасности жизни
Охрана Труда
Педагогика
Политика
Право
Программирование
Производство
Промышленность
Психология
Радио
Регилия
Связь
Социология
Спорт
Стандартизация
Строительство
Технологии
Торговля
Туризм
Физика
Физиология
Философия
Финансы
Химия
Хозяйство
Черчение
Экология
Эконометрика
Экономика
Электроника
Юриспунденкция
Предметы
Авиадвигателестроения
Административное право
Административное право Беларусии
Алгебра
Архитектура
Безопасность жизнедеятельности
Введение в профессию «психолог»
Введение в экономику культуры
Высшая математика
Геология
Геоморфология
Гидрология и гидрометрии
Гидросистемы и гидромашины
История Украины
Культурология
Культурология
Логика
Маркетинг
Машиностроение
Медицинская психология
Менеджмент
Металлы и сварка
Методы и средства измерений
электрических величин
Мировая экономика
Начертательная геометрия
Основы экономической теории
Охрана труда
Пожарная тактика
Процессы и структуры мышления
Профессиональная психология
Психология
Психология менеджмента
Современные фундаментальные и
прикладные исследования
в приборостроении
Социальная психология
Социально-философская проблематика
Социология
Статистика
Теоретические основы информатики
Теория автоматического регулирования
Теория вероятности
Транспортное право
Туроператор
Уголовное право
Уголовный процесс
Управление современным производством
Физика
Физические явления
Философия
Холодильные установки
Экология
Экономика
История экономики
Основы экономики
Экономика предприятия
Экономическая история
Экономическая теория
Экономический анализ
Развитие экономики ЕС
Чрезвычайные ситуации
Популярное
Случайное
Контакты
FAQ
Заказать работу
ЗАДАТЬ ВОПРОС
Войти
/
Зарегистрироваться
Рентгенологические синдромы
Поделись с друзьями:
1
2
3
4
5
Рис.1. Очаговые тени
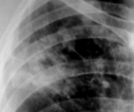
Рис.2. Инфильтрат. Просветление обозначает наличие деструкции (стрелка). Вокруг – множество очагов бронхогенного отсева
Рис.3. Синдром диссеминации
Рис. 4. Округлая тень
Рис. 5. Кольцевидная тень
Рис. 6. Расширение корней за счет увеличения
лимфатических узлов
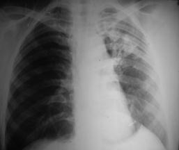
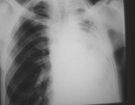
Рис. 8. Ателектаз, вызванный опухолью левого главного бронха: смещение органов средостения в пораженную сторону сторону
Рис. 7. Обширное затемнение (
экссудативный плеврит
): смещение органов средостения в противоположную сторону
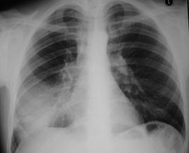
Рис. 9. Цирроз левого легкого (цирротический туберкулез): органы средостения смещены в пораженную сторону
Рис. 10. Ателектаз вследствие туберкулеза бронха: умеренное смещение органов средостения в пораженную сторону
Рис. 12. Ограниченное затемнение левого легочного поля (
экссудативный плеврит
)
Рис. 11. Томограмма. Инфильтративный туберкулез с полостью распада
1
2
3
4
5
Сейчас читают про:
Календарный (паспортный) и биологический возраст, их соотношения, критерии определения биологического возраста на разных этапах онтогенеза
Угловая скорость и угловое ускорение
Система охраны труда и безопасности в медицинских организациях
Опасные и вредные факторы среды обитания человека
ФЕВРАЛЬСКАЯ РЕВОЛЮЦИЯ
Основные методологические подходы в педагогике
Самый сильный аргумент, почему эволюция человека не могла быть