| а) Плотное пятно: морфология | а) Итак, плотное пятно - особый участок стенки дистального канальца. б) В этом участке границы между клетками почти не видны, но имеется скопление ядер (отчего пятно и называется плотным), у клеток нет базальной исчерченности (в отличие от других клеток дистальныз канальцев). |
| Плотное пятно: функция | Считается, что плотное пятно является осморецептором: раздражается при повышении концентрации Na+ в первичной моче и стимулирует при этом ренинпродуцирующие клетки. |
| б) Юкста- гломеруляр- ные клетки: морфология | а) Юкстагломерулярные клетки - это видоизменённые гладкие миоциты, чем определяется их локализация (в средней оболочке артериол) и высокая синтетическая активность. б) Однако в отличие от типичных гладких миоцитов, данные клетки имеют не веретеновидную, а полигональную форму и округлое ядро. в) В цитоплазме содержатся крупные гранулы с ренином. |
| Юкста- гломеруляр- ные клетки: функции | а) В итоге оказывается, что юкстагломерулярные клетки – основной продуцент ренина. б) Наряду с этим, те же клетки, вероятно, являются и барорецепторами (либо тесно связаны с барорецепторами), которые регистрируют давление крови в приносящей артериоле. и реагируют (выбросом реинна) на понижени е указанного давления. |
| в) Юкста- васкуляр- ные клетки: морфология и функция | а) Юкставаскулярные клетки в морфологическом плане отличаются тем, что имеют длинные отростки. б) Полагают, что эти клетки тоже могут синтезировать ренин (под влиянием тех же факторов), но эта возможность реализуется лишь при недостаточности функции юкстагломерулярных клеток. |
III. Резюме. Схема функционирования ЮГА
| Резюме | а) Из вышеизложенного вытекает, что ЮГА является рецепторно-эндокринным образованием. б) Причём, секреция ренина в ЮГА стимулируется в двух случаях: при раздражении осморецептора (плотного пятна), вызванном повышенной концентрацией Na+ в первичной моче, и при раздражении барорецепторов в ответ на снижение давления крови в почечных сосудах. в) Всё это подытоживается следующей схемой. |
|
IV. ЮГА при световой и электронной микроскопии
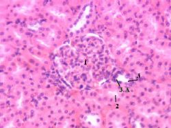
| 1,ж. Препарат - почка. Окраска гематоксилин-эозином. |
На этом снимке мы видим почечное тельце (1), проксимальные канальцы нефрона (2), дистальный каналец нефрона (3) и в нем - скопление клеток - плотное пятно (3.А). | Полный размер |
| Электронная микрофотография - юкстагломерулярный аппарат. |
1. А здесь перед нами - нижняя часть снимка, приводившегося в п. 28.2.3.3.III. 2. Видны следующие структуры: приносящая (1) и выносящая (2) артериолы; | |
плотное пятно (тёмный участок в самом низу снимка); юкстагломерулярные клетки (12) - слой тёмных клеток в средней оболочке приносящей артериолы (аналогичные клетки содержатся, как мы знаем, и в выносящей артериоле, но на снимке практически не видны), и наконец, юкставаскулярные клетки (11) - скопление светлых клеток в треугольном пространстве между двумя артериолами и дистальным извитым канальцем. |
