Тема 17. Учение об инфекции и иммунитете. Практические аспекты иммунологии. Контрольное занятие (тестовый контроль и устное собеседование)

Рекомендуемая литература

1. Борисов Л.Б. Медицинская микробиология, вирусология и иммунология: Учебник / М.: Медицина, 2005

2. Коротяев А.И., Бабичев С.А. Медицинская микробиология, иммунология и вирусология: Учебник. – Спб.: Спец лит, 2008

3. Медицинская микробиология, вирусология и иммунология: Учебник / Под ред. А.А.Воробьева. – М.: ООО Медицинское информационное агентство, 2008

4. Медицинская и санитарная микробиология. Учебное пособие для студентов высших медицинских учебных заведений. Гриф УМО по медицинскому образованию, 2010 г.*
Кривошеин Ю.С., Воробьев А.А., Широбоков В.П.

5. Медицинская микробиология, вирусология и иммунология. В 2 томах. Том 2, 2010 г.*
Зверев В.В., Бойченко М.Н.

6. Поздеев О.К. Медицинская микробиология / Под ред. В.И.Покровского – М.: ГЭОТАР-Медиа, 2010

7. Руководство к практическим занятиям по медицинской микробиологии, вирусологии и иммунологии/Под ред. О.В.Бухарина. –М.: Медицина, 2002

8. Руководство к практическим занятиям по медицинской микробиологии, вирусологии и иммунологии/Под ред. В.В.Теца. –М.: Медицина, 2002


ПРИЛОЖЕНИЕ – ЦВЕТНЫЕ ВКЛАДКИ

Рис. 1. Термостат Рис. 2. Ламинарный шкаф
Рис 3. Микроскоп Биомед С2 Рис. 4. Люминесцентный микроскоп
Рис. 5. Морфология микробов. А – кокки (1 – микрококки, 2- диплококки: гонококки и менингококки, 3 – диплококки: пневмококки, 4 – тетракокки, 5 – стафилококки, 6 – стрептококки, 7 - сарцины); Б - палочки (1 – энтеробактерии, 2 – дифтерийная палочка, 3 – сибиреязвенная палочка, 4 – палочка чумы, 5 - столбнячная палочка); В – извитые формы (1 – холерный вибрион, 2 - спириллы, 3 – бледная трепонема, 4 –боррелии, 5 – лептоспиры); Г – актиномицеты (1, 2- прямые спороносцы, 3- непрямые спороносцы, 4 – одноклеточный мицелий)
 
Рис. 6. Saccharomyces cerevisiae. Окраска метиленовым синим Рис. 7. Staphylococcus aureus Окраска по Граму. Гр(+)
Рис. 8. Esherichia coli. Окраска по Граму. Гр(-) Рис.9. Streptococcus pyogenes Окраска по Граму. Гр(+)
Рис. 10. Vibrio cholerae. Окраска по Граму. Гр(-) Рис. 11. Bacillus cereus. Окраска по Граму. Гр(+)

Рис. 12. Окраска по Граму. Грамотрицательные палочки, грамположительные стафилококки
               
   
   
       
 
 
 
 

 
 
 

 
Рис. 13. Ультраструктура бактериальной клетки. 1 - капсула, 2 - оболочка, 3 - цитоплазматическая мембрана, 4 - нуклеоид, 5 - базальное тело, 6 - жгутики, 7 -рибосомы, 8 -цитоплазма, 9 - пили, 10 – включения, 11- мезозома
Рис. 14. Corynebacterium diphtheriae. Окраска по Нейссеру Рис. 15. Оболочка дрожжей
Рис 16. Нуклеоид Bacillus subtilis Рис.17. Капсулы Klebsiella pneumonae. Окраска по Гинсу-Бурри
Рис. 18. Mycobacterium tuberculosis. Окраска по Цилю-Нильсену. Рис. 19. Споры Bac. subtilis. Окраска по Ауески
Рис. 20. Актиномицеты Рис. 21. Риккетсии в цитоплазме эукариотов
  Рис. 22. Питательные среды для культивирования бактерий

Рис. 23. Лактозопозитивные и лактозонегативные колонии энтеробактерий на среде Левина
Рис. 24. Пигменты бактерий Рис. 25. Анаэростат

Анализатор стерильности крови BD BАCТЕC Полуавтоматический анализаторAutoScan
Полуавтоматический анализатор BBL Crystal Полуавтоматический анализатор mini API
Автоматический анализатор VITEK 2 Автоматический анализатор BD Phoenix
Рис. 26. Бактериологические анализаторы

а б в
г
Рис. 27. Стрипы для биохимической идентификации бактерий (а,б,в) и определения антибиотикорезистентности (г)
Амплификатор Прибор для гель-электрофореза
Трансиллюминатор Флюориметр
  Рис. 28. Оборудование для полимеразной цепной реакции - ПЦР

Рис. 29. Проба на чувствительность микробов к антибиотикам (метод бумажных дисков) Рис. 30. Е-тест на чувствительность микробов к антибиотикам
  Рис. 31. Импактор «Флора-100»   Рис. 32. Аппарат Кротова

а б
  Рис. 33. Ориентировочная реакция агглютинации на стекле (а - положительная реакция культуры бактерий с соответствующей агглютинирующей сывороткой, б – контроль культуры с физиологическим раствором, реакция отрицательна)
 
Рис. 34. Реакция непрямой гемагглютинации – РНГА (осадок в виде зонтика – положительная реакция, в виде пуговки – отрицательная)

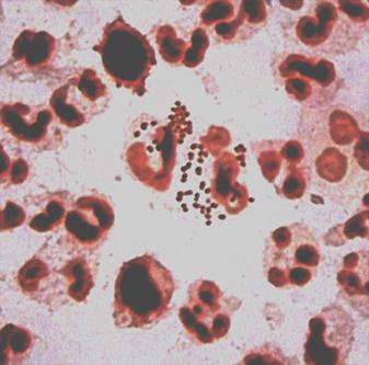
Рис. 35. Незавершенный фагоцитоз гонококка
Тест-система Индикаторная система Результат
  КОМПЛЕМЕНТ
       
   


 
       
   
 


а
 
       
   

КОМПЛЕМЕНТ
       
   
 
 

б
Рис. 36. Схема РСК. а – положительный результат (задержка гемолиза), б – отрицательный результат (гемолиз)
 
 
Культура клеток Центрифугирование Электрофорез Перенос антигенов на бумагу Обработка сывороткой пациента, постановка ИФА Учет

 
Результаты иммуноблотинга считаются положительными при обнаружении антител к р24, р31, gp41, Gp120. Положительный результат (наличие антител к ВИЧ) характеризуется светло-коричневым окрашиванием содержимого лунки. Иммуноферментный анализ

Рис 38. Иммуноблотинг
Рис. 39. Иммуноферментный анализатор
Рис. 40. Проточный цитофлюориметр

№№ Тема и содержание занятия
1. Морфология микроорганизмов. Микроскопический метод исследования микроорганизмов. Простые методы окраски бактерий. Правила работы и устройство микробиологической лаборатории
2. Морфология микроорганизмов. Структура бактериальной клетки. Сложные методы окраски. Окраска по Граму.
3. Морфология микроорганизмов. Структура бактериальной клетки. Сложные методы окраски. Изучение производных бактериальной клетки.
  Морфология и классификация бактерий, спирохет, риккетсий, хламидий, микоплазм и актиномицетов.
5. Современные методы стерилизации и дезинфекции. Контроль стерилизации.
6. Физиология микроорганизмов. Питание бактерий. Питательные среды для культивирования бактерий.
7. Физиология бактерий. Рост и размножение бактерий. Скорость и фазы роста бактерий. Методы культивирования анаэробов
8. Бактериологический метод исследования. Методы выделения чистых культур. Методы идентификации бактерий. Ферменты микроорганизмов и их практическое применение.
9. Вирусы бактерий (бактериофаги). Бактериофагия. Практическое применение бактериофагов
10. Генетика микроорганизмов. Генетический метод диагностики инфекций. Основы биотехнологии.
11. Микробиологические основы химиотерапии инфекционных болезней. Методы определения чувствительности микроорганизмов к антибактериальным препаратам.
12. Экология микроорганизмов. Микрофлора воздуха, воды, почвы
13. Экология микроорганизмов. Микрофлора организма человека.
14. Итоговое занятие (1 модуль).
15. Учение об инфекции. Факторы патогенности бактерий. Роль макроорганизма, внешней среды и социальных условий в развитии инфекции. Формы инфекции. Биологический метод диагностики инфекционных болезней
16. Иммунитет. Виды иммунитета. Антигенные свойства бактерий. Серологический метод диагностики инфекций (РА, РНГА, РП, РСК
17. Серологический метод диагностики инфекций (РН, МИФ, РИА, ИФА).
  Медицинские иммунобиологические препараты для профилактики и лечения инфекционных болезней. Аллергический метод диагностики.




Подборка статей по вашей теме: